商品仕様
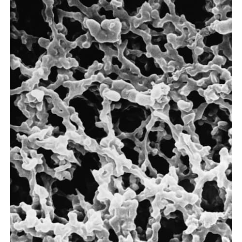
| 品名 | MF-ミリポア セルロース混合エステル(セルロースアセテート+ニトロセルロース)製メンブレンフィルター |
|---|---|
| メーカー品番 | RAWP09025 |
| 材質 | セルロース混合エステル(セルロースアセテート+ニトロセルロース) |
| 孔径 | 1.2μm |
| 直径 | 90mm |
| 色 | 白色 |
| 表面 | 無地 |
| 膜厚 | 150μm |
| 空隙率 | 82% |
| 高圧蒸気滅菌 | yes |
| 使用時の耐熱温度 | 75℃ |
| 用途 | 輸液や血清の清澄化 添加物、抗生物質、注射剤、組織培養培地のろ過滅菌 大気中のアスベスト、砒素、木綿ダスト、金属、殺虫剤、塵埃などのモニタリング セルハーベスト、セルウォッシング コロニーハイブリダイゼーション 薬品、燃料、作動油の汚染分析 ビール、ソフトドリンク、水、ワインの微生物分析 DNAおよびタンパク質のマイクロ透析 |
| 入数 | 25枚 |


商品説明
・多用途フィルター生物学的に不活性な、酢酸セルロースと硝酸セルロースの混合物から構成されており、多くの分析、研究でのアプリケーションにおいて標準法となっており、いろいろな分析や超洗浄化、滅菌といったアプリケーションに推奨されています。
*灰分重量分析において、820℃で燃焼させたとき、灰分は初期フィルター重量の0.045%以下です。
・低抽出物含有量
MF-ミリポアの水による溶出物は、フィルター重量≦5%です。
・化学適合性
うすい酸やアルカリ、脂肪族および芳香族炭化水素、非極性水溶液に安定です。
*ケトン、エステス、エーテル、アルコール、ニトロパラフィン、強酸強塩基には耐性がありません。